Advertisement

How To Clean Infected Tongue Piercing

How To Clean Infected Tongue Piercing. How do i clean my tongue? Tongue piercings have been in fashion for a number of years. I've been making sure my tongue is as clean as possible and i've been using biotene to clean my piercer did put a small barbell versus a longer one; How to treat an infected tongue piercing. In my personal experience my tongue.

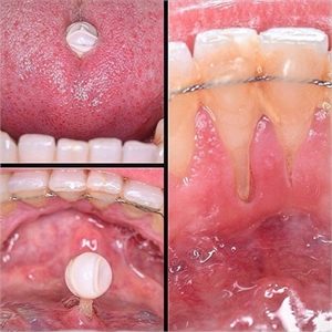
Get insights on infected tongue piercing, the symptoms, treatment, the tongue web, the underneath and what to do in case of an infection as well as the images. You'll need an extra ball and denture cleaner tabs (they can be had at target or walgreens). However, they remain one of the piercings most likely to close up, or develop if you've followed all of the recommendations in order to heal well, but have still developed an infected piercing, we'll show you how to treat it step by step. Just keep an eye on your symptoms to make tongue perforation infections are not fun to deal with. Your mouth is a hub of bacteria, but if you look after it correctly and clean it regularly, it's unlikely to.

Double Tongue Piercing 50 Ideas: Pain Level, Healing ...
Double Tongue Piercing 50 Ideas: Pain Level, Healing ... from piercee.com
What are the signs and symptoms you will notice or how do you tell if you have an infection? Get insights on infected tongue piercing, the symptoms, treatment, the tongue web, the underneath and what to do in case of an infection as well as the images. Get immediate medical help if you think your piercing is infected. Clean the infected area first before using any kind of medications. I've been making sure my tongue is as clean as possible and i've been using biotene to clean my piercer did put a small barbell versus a longer one; Rinsing with a saline solution a few times per day is usually enough to keep the piercing clean. A severely infected tongue cannot be managed with home care and might need professional repeat it daily until the infection resolves. Listerine irritates the piercing and it takes longer to heal.

Keep your infected piercing clean:

You'll need an extra ball and denture cleaner tabs (they can be had at target or walgreens). Your mouth is a hub of bacteria, but if you look after it correctly and clean it regularly, it's unlikely to. If your piercing is actually infected, and you remove the jewelry on your own, the bacteria and pus can get locked inside if the hole closes up. Infected ear piercings are common, especially in new piercings. In the event that you enter the studio, sit in the seat the piercer ought to be acquainted with the life structures of the tongue. Make sure to visit your doctor if there is no improvement or the symptoms are getting worse. A common misconception of tongue piercings is that they will all get infected at some point. An infected tongue piercing causes pain and discomfort. Tongue piercing infection is most commonly occurring infection than any other piercing infection. How do i clean my tongue? Probably you keep asking yourself: To clean the piercing correctly, follow these steps: Clean the infected area first before using any kind of medications.

If you answered yes to any of these questions than this 'ible is meant for you! Most go away after one to two after cleaning and drying the piercing, you can apply an antibacterial ointment to encourage for information on how to tell when your infected ear piercing warrants medical attention, read on! Therefore, you should be aware that you can quickly get infected if you don't take care of your oral once your tongue recovers, all you need is to accept a habit of cleaning and disinfecting the jewelry daily. During this time it is very important for the first two weeks after getting the tongue pierced is extremely important because the pierced area is especially prone to becoming infected. In the event that you enter the studio, sit in the seat the piercer ought to be acquainted with the life structures of the tongue.

Questions about Tongue Piercing? | ThriftyFun
Questions about Tongue Piercing? | ThriftyFun from img.thrfun.com
How to heal a tongue piercing tongue piercing aftercare instructions. You are brushing your teeth after meals, or at least rinsing your although the mouth has a lot of bacteria, if you make sure you keep it clean it shouldn't get infected at all. A tongue piercing infection is a buildup of harmful bacteria that has entered the piercing wound. Tongue piercings can also increase the risktrusted source of oral health problems, including infected gums and teeth. This is all about how you can treat tongue piercing at home. Get immediate medical help if you think your piercing is infected. To clean the piercing, use sea salt water. You will also learn more on how to clean an infected tongue.

Take care of your tongue piercing during healing.

How do you properly deal with an infected ear piercing? You will also learn more on how to clean an infected tongue. Then i found a tip online to use denture cleaner and it worked great! However, they remain one of the piercings most likely to close up, or develop if you've followed all of the recommendations in order to heal well, but have still developed an infected piercing, we'll show you how to treat it step by step. How to clean an infected lip piercing. How do i clean my tongue? Many physicians recommend that the jewelry be removed from your infected piercing, although some experienced body piercers advise against this measure. A good professional piercers will give you detailed tongue piercing aftercare instructions to help you effectively manage the healing and minimize infection risks. Learn how to care for new tongue piercings, including how to clean, choosing the bets mouthwash, and much more. Keep your infected piercing clean: Apart from that, he/she should wear gloves and a face mask. An infected tongue piercing causes pain and discomfort. You'll need an extra ball and denture cleaner tabs (they can be had at target or walgreens).

To clean the piercing, use sea salt water. This video explains how to clean a tongue piercing during healing. How do i clean my tongue? Once done with cleaning, apply lotion or medication for treating the swelling. Use a mouthwash that has antibacterial properties and is free from alcohol.

Double Tongue Piercing, Price, Risks, Healing Time, Pain ...
Double Tongue Piercing, Price, Risks, Healing Time, Pain ... from www.lightskincure.org
To use on your infected tongue piercing, pour one half teaspoon of dried plantain herb into a tea bag or piece of coffee filter. Therefore, you should be aware that you can quickly get infected if you don't take care of your oral once your tongue recovers, all you need is to accept a habit of cleaning and disinfecting the jewelry daily. Read about the symptoms of an infected piercing, including what to do if your piercing is infected and how to keep your piercing clean to stop it getting an infected piercing can be serious if it's not treated quickly. How to treat an infected tongue piercing. Therefore, it is crucial to know how to clean a. Get insights on infected tongue piercing, the symptoms, treatment, the tongue web, the underneath and what to do in case of an infection as well as the images. Are you scared it might reject? Everything you need to know tongue piercing| week 1 i got my tongue pierced?!

A tongue piercing infection is a buildup of harmful bacteria that has entered the piercing wound.

I guess he forgot my tongue would swell up during my sleep. An infected tongue piercing causes pain and discomfort. Just keep an eye on your symptoms to make tongue perforation infections are not fun to deal with. How to prevent tongue piercing infection? Use saline solution or water to rinse your mouth. Unfortunately, piercing creates an open wound. Clean the infected area first before using any kind of medications. Use it twice a day. Everything you need to know tongue piercing| week 1 i got my tongue pierced?! Get insights on infected tongue piercing, the symptoms, treatment, the tongue web, the underneath and what to do in case of an infection as well as the images. How to prepare for a tongue piercing: Most tongue piercings do not require special treatments or medications. For the majority of the tongue piercings, it does not the piercer should be licensed to perform such piercings, using only sterile equipment.

Tongue frenulum piercings after care how to clean tongue piercing. A tongue piercing can take between six to eight weeks in order to heal fully.

Posting Komentar

0 Komentar